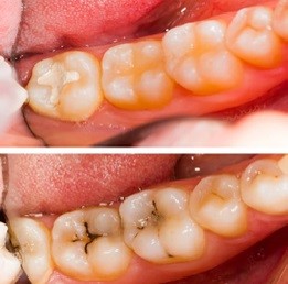
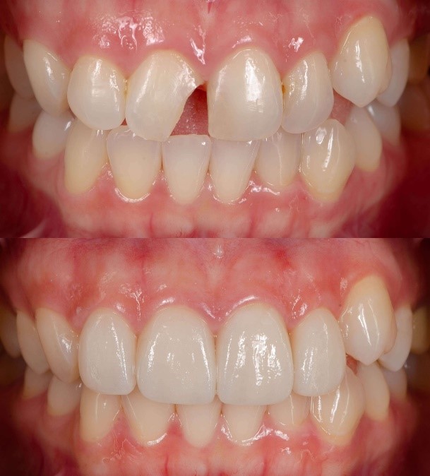
Dental fillings are used to restore missing tooth structure due to decay or trauma. Decay causes cavities, making the tooth hollow. Dental fillings fill these gaps and protect the tooth from further decay. They can also repair broken or cracked teeth and those worn down by habits like teeth grinding or nail biting.

Ignoring a Dental filling can lead to serious issues. Untreated decay will continue to erode the enamel, exposing the dentin and causing infection. This results in sensitivity and can eventually damage the tooth's nerve, necessitating a root canal treatment. The infection can also spread to adjacent teeth.
The cost of Dental fillings varies based on the size, number, and type of filling material. Investing in fillings can prevent the need for more expensive treatments like tooth replacement in the future.