Denture

Dentures, also known as false teeth, are prosthetic devices constructed to replace missing teeth and are supported by the surrounding soft and hard tissues of the oral cavity. They are typically made from acrylic resin, sometimes in combination with various metals. Dentures can be categorized into two main types: complete dentures and partial dentures.

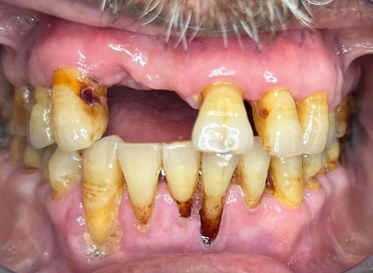
Before

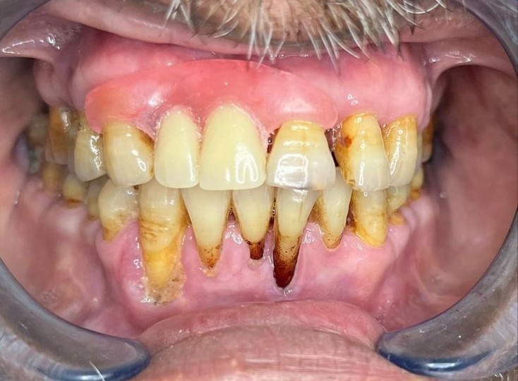
After

Complete Dentures

Complete dentures are used when all the teeth in either the upper (maxillary) or lower (mandibular) jaw are missing. There are two main types of complete dentures:

Upper and Lower Complete Denture

  1. Conventional Complete Dentures:
    These are made and placed in the patient's mouth after the remaining teeth have been removed and the tissues have healed. This process can take several months.
  2. Immediate Complete Dentures:
    These are placed immediately after the removal of the remaining teeth. Measurements and models of the patient’s jaw are made during a preliminary visit. While immediate dentures offer the benefit of not having to go without teeth, they may require adjustments over time as the gums and bones shrink during the healing process.

Partial Dentures

Partial dentures are used when one or more natural teeth remain in the upper or lower jaw. They consist of replacement teeth attached to a pink or gum-colored plastic base, which is connected by metal framework that holds the denture in place in the mouth. There are two main types of partial dentures:

Flexible Denture

  1. Removable Partial Dentures:
    These can be taken out and put back into the mouth by the patient. They usually consist of replacement teeth attached to a gum-colored plastic base connected by metal framework.
  2. Fixed Partial Dentures (Bridges):
    These are cemented in place and can only be removed by a dentist. They are often used to replace one or more teeth by anchoring to the natural teeth on either side of the gap.
Materials Used in Dentures

Acrylic Resin: The most common material for the base of dentures. It is affordable, easy to adjust, and has a natural appearance.

Metal: Often used in the framework of partial dentures for added strength and stability.

Porcelain: Sometimes used for the teeth in dentures, though less common due to its tendency to wear down the natural teeth it comes into contact with.

Dental implants (or teeth implants) help overcome the above mentioned problems. They are undoubtedly the best and most popular solution for replacing missing teeth.

Fitting and Maintenance

Fitting: The process of getting dentures involves multiple steps including an initial examination, impressions of the jaw, creating a model, and adjusting the fit. Proper fit is crucial to ensure comfort and functionality.

Maintenance: Dentures require daily cleaning to prevent plaque build-up and stains. They should be soaked in a denture cleanser overnight and brushed with a soft denture brush. Regular Dental check-ups are important to assess the fit and condition of the dentures and oral tissues.

Benefits and Drawbacks

Benefits:

  • Restore functionality for eating and speaking.
  • Enhance aesthetic appearance and provide support to facial muscles.
  • Improve self-esteem and confidence.

Drawbacks:

  • May require a period of adjustment to get used to the feel and function.
  • Can sometimes cause irritation or soreness.
  • Require regular maintenance and periodic adjustments or replacements.

Alternatives to Dentures:

  • Dental Implants: Titanium posts surgically placed into the jawbone that act as a base for attaching artificial teeth.
  • Overdentures: Dentures that fit over a small number of remaining natural teeth or implants.
  • Bridges: Fixed partial dentures anchored to adjacent teeth.

In conclusion, dentures are a valuable solution for replacing missing teeth, providing significant benefits in terms of functionality and aesthetics. However, they require proper care and maintenance, and there are alternative options available depending on the individual's specific needs and circumstances.